Tailor's Bunion

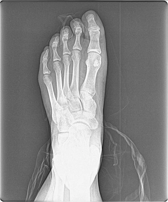
X-ray of foot Tailor’s bunions, sometimes called "bunionettes," are a variation on more common bunions, which appear on the inside of the foot, under the big toe. Tailor’s bunions instead develop on the outside of the foot, under your smallest toe. Like bunions, tailor’s bunions rub against your shoes and can create redness and swelling.

Causes and Treatment of Tailor’s Bunions

Like bunions, tailor’s bunions can be caused by hereditary mechanical issues in the foot, and can be exacerbated by wearing narrow, unsupportive, and high­-heeled footwear.

Treatment for tailor’s bunions is also similar to treatment of more traditional bunions, though treatment varies depending on the severity of the condition and its cause (Tailor’s bunions can also be caused by bone spurs). Nonsurgical treatments are the most commonly tried first, including injections, orthotics, changing your footwear, and padding. Surgery is an option if these more conservative treatments do not help alleviate your pain.

Your podiatrist is happy to discuss available treatments with you, and a clinical diagnosis is an important first step toward pain­-free feet. Contact our office for an appointment today if you believe you have developed a tailor’s bunion.

Our Location

43750 Woodward Ave. Suite 102 | Bloomfield Hills, MI 48302

Office Hours

Our General Schedule

Monday:

8:30 am-4:30 pm

Tuesday:

8:30 am-4:30 pm

Wednesday:

8:30 am-4:30 pm

Thursday:

8:30 am-4:30 pm

Friday:

8:30 am-4:30 pm

Saturday:

Closed

Sunday:

Closed

patient and doctor

Contact Us Today!

We look forward to hearing from you.